Explore Our Raving Reviews
See what our patients are saying about their experience with Dr. Catherine Woo and the team at Riverdale Family Orthodontics. With board certification and Ivy-League training, Dr. Woo is committed to delivering exceptional care, and our patient reviews reflect the difference a dedicated, expert approach can make.
Check These Smile Transformations Made by Dr. Woo and Her Team
See the incredible smile transformations crafted by Dr. Woo and the exceptional Riverdale Family Orthodontics team! Just drag or swipe the slider left or right on each before/after photo to see the stunning transformation and compare the new smile with its past appearance.
























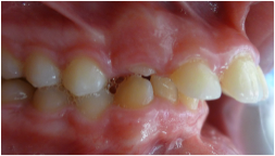
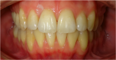
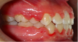
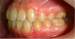
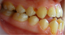
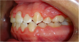
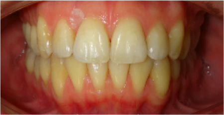
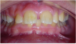
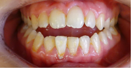
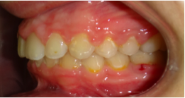
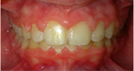
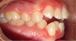
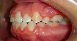
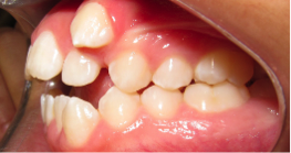
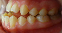
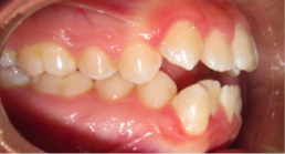
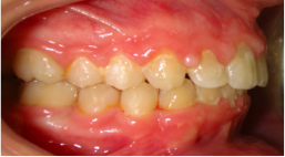
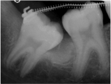
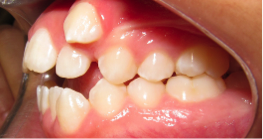
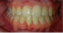
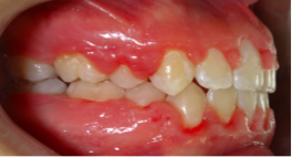
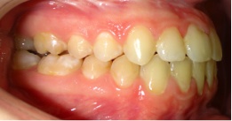
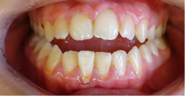
Take a Look at More Before and After Cases
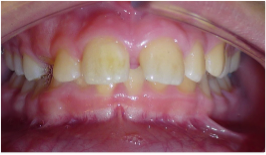
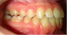
Anterior crossbite correction: 12 months
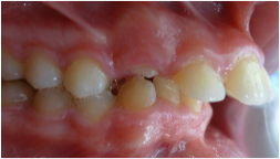
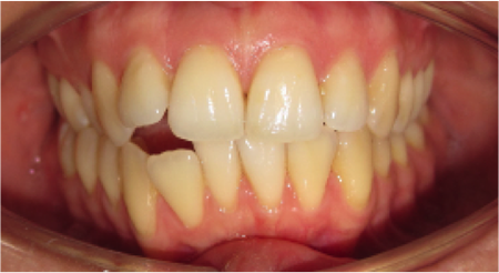
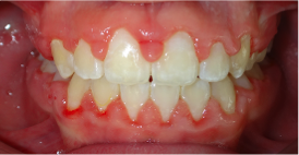
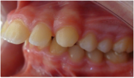
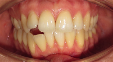
Diastema space closure: 12 months
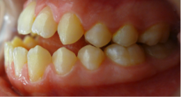
Lateral open bite: 18 months with Invisalign
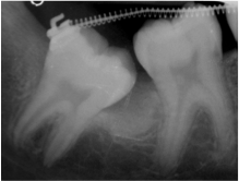
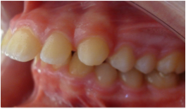
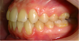
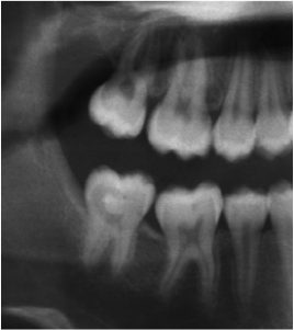
Upper and lower molar uprighting: 24 months
Very protruded teeth: 24 months
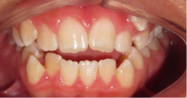
Anterior open bite with severe crowding: 24 months
Surgical class III correction: 24 months
Your Orthodontic Journey Starts with a Phone Call
All it takes to begin your journey is a phone call. Simply call our office and our team will be happy to schedule you free consultation appointment.




























